您现在所在的位置:>首页 > 生活 > 正文
肺癌ct表现(什么是肺炎型肺癌?有哪些特征)
发布时间:2022-09-25 00:38   浏览量:24

所谓肺炎型肺癌,并非一个病理学属于,而是指在影像学上表现为斑片状、大片状实变或磨玻璃样阴影,跟肺炎非常相似,但其病理基础却是肺癌的一个约定成俗,已经逐渐被淘汰的概念。

我们都知道,肺癌的病理类型包括肺腺癌,鳞癌,大细胞癌,小细胞癌等。肺炎型肺癌是哪一类呢?答案是,不一定只对应一类,而是多类。最常见的是腺癌,尤其是以前被称为细支气管肺泡癌的一种肺癌(细支气管肺泡癌的概念已经被取消,现在归为不同类型的腺癌,比如AIS,或者粘液腺癌,附壁生长的腺癌,AIS等),但其实,包括鳞癌在内的肺癌偶尔也会表现的像肺炎。

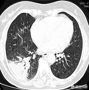
(肺腺癌)

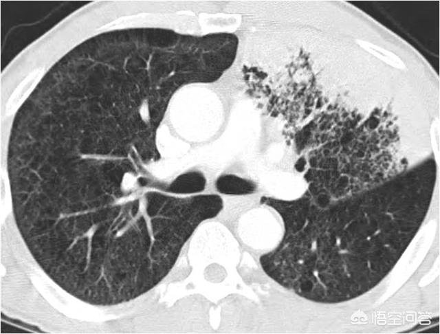
(肺炎)

通过上面两幅图,可以看出来,这种表现为斑片状影的肺癌,跟肺炎在CT上非常相似。

组织病理学上,肺炎型肺癌的癌细胞生长或扩散方式主要有以下几种: ①癌细胞沿肺泡壁匍匐生长; ②癌细胞和黏液在小叶中心、腺泡腔中完全充填并可能在间隔内成簇生长;③癌细胞及其分泌的黏液大部分或完全充填肺泡腔并沿肺泡孔及细支气管播散、蔓延; ④在肺泡腔完全充填的基础上可见充气支气管、纤维增生所致的牵拉性支气管扩张及部分扩大的肺泡腔等等。

换言之,癌细胞的这种生长方式不是趋向于形成一个肿块,而是像肺炎的炎性渗出,肉芽一样,形成一个片影。而在CT或X线片上,没有办法区分这个影子到底是肿瘤细胞还是炎性细胞。

所以,放射科才有“异病同影”的说法,是指完全不同的疾病,影像上完全相同。当然,还有半句“同病异影”,也就是说同一个病,表现可以五花八门。这种情况,无疑给临床诊断增加了很多难度。所以这种类似肺炎的肺癌,在临床上很多一开始被误诊为肺炎,经过抗炎而没效果,后来经过其他检查确诊为肺炎的。

当然,有经验的大夫,根据临床表现,CT征象的细微区别,可以把这种误诊降低到最低程度。

标签:
每天刷牙都出血危险吗(为什么我每天早上刷牙都出血) 闭合性粉刺能自己消下去吗(长了闭合粉性粉刺真的那么烦恼吗 胎心监护多长时间(胎心监护从多少周开始做?胎心监护一次要做 去除螨虫的最好方法(最有效的快速去除螨虫的方法) 吃氯雷他定片多久起效(哺乳期间吃氯雷他定片多久可以喂奶) 发烧能喝豆浆吗(3岁的孩子感冒发烧不吃药,能放在豆浆里一起 颈椎病犯了快速缓解(颈椎病速缓解痛怎么办) 怀孕时间从哪天开始算(女子怀孕什么时候能测出来) 尿常规必须是晨尿吗(不是晨尿检查结果就不准确吗) 葱须的功效与作用(葱根的功效与作用有哪些)