您现在所在的位置:>首页 > 生活 > 正文
儿童牙齿发黑烂掉图片(宝宝现在不到三岁,前面四颗乳牙牙釉质发黑脱落是什么情况)
发布时间:2022-09-25 06:51   浏览量:13

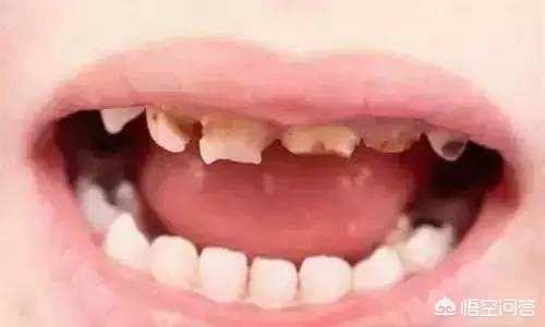
孩子前面四颗乳牙发黑脱落,毋庸置疑那就是儿童牙齿常见的问题:龋坏,也就是蛀牙,虫牙。如下图几种状态都是虫牙。

两岁孩子虫牙是如何来的?这么大孩子饮食中喝奶占很大部分,常见的牙问题就是奶瓶龋。孩子频繁喝奶,没有及时清洁牙齿,奶渍中的糖分和细菌结合产生一种东西叫做酸,长时间滴在牙齿上,牙齿就虫牙了。

出现虫牙,根源就在于给孩子牙齿没有做好清洁。当然这也和孩子牙齿本身有关系,有的孩子牙齿本身钙化的不够好,容易被侵蚀。

有时候家长说孩子牙齿一长出来就那样了,龋坏的发生是非常快的,甚至两三个月就会有明显的龋损。龋坏也是一点点发展而来的,下图最后一张给前牙龋坏的三个发展阶段。

如何预防乳前牙龋坏?第一就是刷牙或者做好清洁擦洗;然后就是涂氟;最后就是早发展龋坏赶紧治疗,只有通过治疗才能阻止龋坏的发展,但凡出现虫牙,是停不下来的。早预防,少受苦!






标签:
减肥可以吃土豆吗(减肥期间到底能不能吃土豆啊,我每天早上都 富含维生素c的水果(哪些水果含维生素c和e) 蒲地蓝口服液说明书(蒲地蓝正确的喝法是什么样的) 嘴唇发干发白是什么原因(口干舌燥,嘴唇发白是什么回事) 来例假可以吃芒果吗(月经期吃芒果会怎么样) 脖子痒是什么病的前兆(脖子又红又痒为什么) 孕妇快速止咳17种方法(孕妇一直咳嗽,又不能吃药,很难受,你 艾瑞昔布片的作用(脚扭了怎么消肿) 艾灸养生馆(开一家艾灸养生馆,怎么样) 拔罐出水泡怎么回事(拔罐出水泡怎么回事)