您现在所在的位置:>首页 > 生活 > 正文
肺穿刺活检(肺结核穿刺是什么意思)
发布时间:2022-09-25 04:52   浏览量:28

肺结核是由结核菌感染所致的肺部疾病,具有一定的传染性,感染的患者通常需要较长的治疗时间才能完全根治,不管是肺部结核感染导致的症状,还是服用抗结核药过程中产生的副反应,都让病人痛苦异常,所以,患病之后尽早诊断成为治疗该疾病的重点。

传统上结核的诊断主要靠痰液检查,查找其中的结核杆菌来确诊,对于很多肺结核,特别是伴有肺组织坏死排出的结核患者来说,这样的检查是比较行之有效的,但是对于大部分肺部只是增殖性病灶,但是没有坏死排出的情况的患者来说,很难从痰液中找到结核菌,这主要和一方面痰液不一定从病灶当中而来,另外一方面即使从结核病灶中产生的痰液,也并不一定带有脱落的结核菌有关,这时候就需要一些有创检查的辅助诊断。

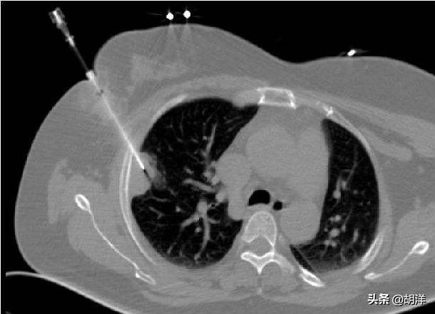
呼吸科对于结核的诊断常见的有创检查主要包括肺穿刺气管镜,以及浅表的一些病灶的穿刺,比如说肿大的淋巴结穿刺。下面介绍一下这几样检查。

首先是气管镜检查,气管镜是用一根小拇指粗细的管子,从鼻子或者嘴巴插入到咽喉部,并进入气管和肺组织当中去检查,可以直观的观察气管以及肺部的一些病变,对于气管病变以及中央型的病灶具有直观的检查效果,同时这根管子是中空的,我们还可以进行,生理盐水注射并回吸的方法收取,检查目标部位的一些脱落的标本,比如说细胞细菌等进行检查,另外还可以,用毛刷进行刷检,以及用活检钳取气管或者肺组织进行组织活检,只要在病理标本当中见到游离的或者是组织当中固定的结核杆菌的话都可以确诊。

以下是付费内容

肺穿刺和淋巴结穿刺都是同样的原理,这些检查都必须要在一定的设备的辅助之下进行,比如说在CT定位下或者是彩超定位下,找到目标病灶,确定进针的位点,用活检枪或者是普通的细针扎入病灶进行抽吸,抽吸出来的细胞或者是组织标本进行检查,如果找到游离的或者固定在组织当中的结核菌的话也可以确诊。

当然做上述的检查并不仅仅起到了正面的确诊的作用,对于其他疾病的排除也是很有作用和必要的,比如说在检查的过程中没有检查到其他的病原体以及肿瘤细胞的话,对于结核的诊断有反面的推导作用。我们有时候会在同一次检查当中见到结核和肿瘤细胞,也就是所说的双阳性。这样就可以确定患者患有两种疾病。因此做检查除了确诊意义之外,还有排除其他疾病的意义。

标签:
红细胞增多症(红细胞高怎么回事) 占位性病变(什么是肺占位性病变) 虾蟹粥的做法(潮汕沙锅虾蟹粥的正宗做法是什么) 蒜蓉粉丝怎么做(蒜蓉捞汁粉丝的做法) 双皮奶的简单做法自制(双皮奶的做法不需过滤) 最简单判断孩子是谁的(孩子到底是怎样孕育出来的) 小孩发烧后出红疹图片(孩子腋窝下出了很多红疹,左边背部也有 整鸡怎么做好吃(炖整鸡怎么炖最好吃) 吃桃胶的好处和害处(桃树流胶是怎么回事?是什么病引起的) 山东人平均身高(山东省的平均身高在全世界是什么水平)