您现在所在的位置:>首页 > 生活 > 正文
肺部ct怎么看图解(在肺部CT中,气管是白色条形吗)
发布时间:2022-09-25 05:27   浏览量:30

头条上很多朋友善于学习和思考,这是全民的进步。很多朋友对学习肺部CT有兴趣,今天简单科普一下。

肺部CT很常用,除了可以筛查早期肺癌,还能用于诊断肺结核、肺炎、尘肺、良恶性肿瘤等。要看肺部CT影像,先要熟悉肺部解剖。

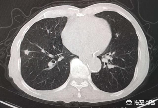
肺脏像两块海绵,一左一右。



如图所示,气管从喉咙下来,大约在第6胸椎水平左右分叉,伸入肺脏,并且像树枝一样越分越细,最终到达末梢的肺泡。所以气管和支气管是空气进入肺脏的通道。

气管和肺泡腔都是空气,密度很低,所以在CT上呈黑色。如上图中的1-7,就是左右主支气管和它的分支,呈黑色,像树枝一样越分越细,所以也被称为支气管树。

那么,题主可能会问:那些白色的条形影是什么?


我们知道,肺里有两套重要的管状结构:一套是支气管树,让空气进入肺脏;另一套是血管系统(肺动脉和肺静脉),让人体的血液和空气完成血氧交换,吸收氧气,呼出二氧化碳

所以白色的条形影是肺里的血管,其中肺动脉跟支气管伴行,也是越分越细,在肺泡壁形成毛细血管网,通过血红蛋白氧合吸收、转运氧气,同时析出二氧化碳。完成血氧交换之后,毛细血管再逐渐汇总,越来越粗,构成各级肺静脉,回到左心房-左心室,进入到体循环,供应全身的氧气。

如图所示,红色的是肺静脉,因为含有丰富的氧气,肉眼呈鲜红色(动脉血);蓝色的是肺动脉(静脉血)。

因为肺部血管内含有血液,密度要高于肺内气体,所以在胸部CT上呈现白色条形影。

这些血管断面,会不会误认为肺结节呢?

有读者提到过这个问题,答案是不会的!因为观察肺部影像是动态连续层面观察,血管断面连起来看呈条形,而不是孤立性结节。

像这种的,才是孤立性肺结节,并且与血管相连。这个病人后来复查结节完全吸收了,这是一个炎性结节。

肺部CT入门不难,有兴趣的朋友读两遍,就能大致了解正常结构了。

我是影像科豪大夫,欢迎关注!

标签:
必喝4款养肝护肝茶(适合长期喝的养肝茶有哪些) ki67正常指标是多少(一般恶性肿瘤ki-67的正常值是多少) 少年白头发是什么原因(我白头发多,但不想染发,有没有什么变 双向情感障碍测试(作为双相情感障碍患者的家属,可以做什么 总是头疼怎么回事(有没有50岁左右,整天身体不舒服,头晕头痛 大便粘液和脓的区别图(大便有好多形状,都代表着哪些疾病) 高三抗疲劳补脑保健品(高三学生吃什么补脑抗疲劳) 产后恢复必做项目(产后康复有哪些项目) 怎么瘦肚子最快最有效(肚子上的肉很多怎么办) 减肥最快的运动(刚开始减肥,应该做什么运动)