今天在门诊来了一位患者,老周,男性56岁,平时身体不错,没有任何不舒服。最近一走快点就喘,之前上六楼都没事,现在上二楼还得歇会。
王医生问完情况,高度怀疑心脏问题,心衰可能性非常大,让他先去做一个心电图和心脏超声。心脏彩超提示心脏扩大,心功能减退,心衰,室壁活动不协调;心电图提示陈旧性前壁心肌梗死。
可是开始在问诊过程,老周并没有心脏病,更没有发生过心肌梗死。为了慎重期间,我再次反复问了老周,之前有没有发生过心肌梗死,老周依然说没有。王医生再问有没有某一天胸痛、胸闷、牙疼、腹痛、大汗、特别难受等等这些的情况发生过?
老周回忆半年前有一次特别难受,当然睡了一下午,后来渐渐就好了,也没在意。
王医生:那就不能排除半年前发生过心肌梗死,只是当时您运气好,没来医院,也没事。但现在后遗症出现了,心脏衰竭了,先住院吧。
老周:医生,你能确诊我得过心肌梗死吗?
王医生:八九不离十,但不能100%,因为心衰可以确诊,但是心衰的原因目前根据心电图只是高度怀疑曾经得过心肌梗死,并不能说100%得过心肌梗死。因为引起心衰的心脏病很多,心肌梗死只是其中一个;引起心电图有陈旧性心肌梗死表现的病因确实以心肌梗死为主,但不是说心电图提示陈旧性心肌梗死就100%是心肌梗死,别的疾病也可能表现为陈旧性心肌梗死心电图。为了确诊还得进一步影像学检查。
老周:是必须做心脏造影吗?
王医生:理论上做心脏CTA和心脏造影检查都能看出来哪根血管堵死了,但是现在高度怀疑得过心肌梗死,且已经出现心衰,所以还是建议直接做造影比较好。因为CT只是一种检查,如果发生血管狭窄,并不能治疗,甚至还得再次心脏造影。这样不但多花钱,而且还遭受两次辐射,受两次造影剂危害。造影一步到位,如相对CT更加准确,如果造影发现问题,还能当时就打通血管,或解决狭窄血管,免遭二次痛苦。
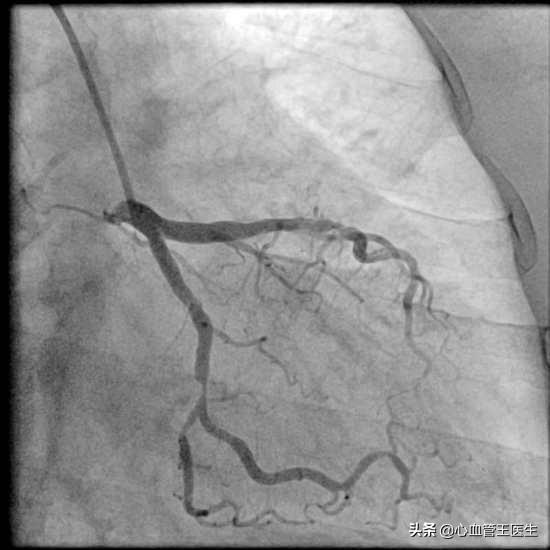
老周住院后,造影检查显示心脏左前方前降支血管中段完全堵塞,且已经有右侧血管的逆向血流,于是我们花费很长时间打通血管,在一定程度上能改善心肌缺血和心功能。
经过治疗,老周胸闷憋气的症状得到明显改善,现在日常生活走路快走,都没有任何问题了。
现实生活中,确实有人不知道自己发生过心肌梗死,只是做心电图怀疑陈旧性心肌梗死,如果要进一步确诊,最好选择心脏造影。
【心血管王医生版权,侵权必究!】
